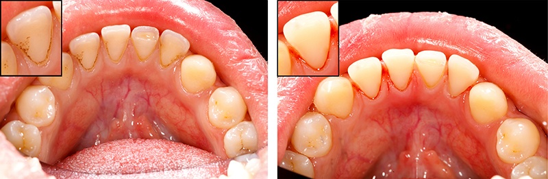
You want a smile that looks, feels and performs at its best. You can make sure that happens by visiting Dana Dental Arts for your dental cleanings and exams in Spearfish, and Rapid City, South Dakota. This visit will give our dentists and team the chance to thoroughly clean your smile make sure it is healthy. To plan your visit with Drs. Mick, Brad, Nicole or Monique Dana, call our office today at 605-642-7727 or 605-342-6038.
If you are due (or even overdue) for your cleaning, we would love to see you!
