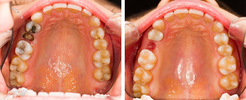
Tooth extraction is the removal of a tooth. While we strive to avoid the need to remove a tooth whenever possible, certain conditions may make tooth extraction the most effective option for returning your smile to good health and function. Following the tooth extraction, we are happy to provide you with one of our excellent tooth replacement treatments to restore your smile to optimal health, beauty and function.

Several conditions may necessitate tooth extraction. Among these are:

Our dentists and team use great care and skill when performing a tooth extraction to ensure that your experience is as comfortable and painless as possible. We will also provide you with detailed post-treatment care instructions so that you can properly take care of your smile as it heals. For more information on tooth extraction and to schedule your personalized consultation at our friendly dental office, we invite you to call or visit us today. We are committed to improving your smile!