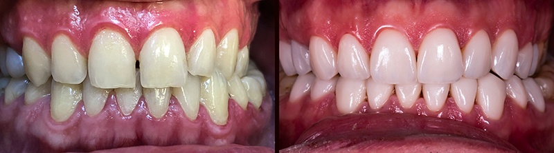
Dental veneers are very thin shells, made of porcelain that are bonded to the front of your teeth to enhance the beauty of your smile. Our dentists may recommend dental veneers to correct several types of smile imperfections. Porcelain veneers are an excellent choice for enhancing your smile because the color and translucence of porcelain is a great match for the natural appearance of tooth enamel. Porcelain is stain resistant as well, so your smile will stay bright for years to come.

Our dentists may recommend dental veneers if you would like to improve the appearance of your smile. Custom-made veneers can be used for just one tooth or for your entire smile. We may suggest veneers to:

We invite you to call or visit our office today to learn more about custom dental veneers and how we can enhance your smile. We look forward to hearing from you!